treatments
Treatments

Best Dental Treatment in Noida

implants

Implants

It is replacement of missing natural tooth by placing an implant within the jaw followed by crown placement over it. It is a fixed prosthesis and gives 99% resemblance to the natural tooth.

Orthodontics

Orthodontics

Also Known as BRACES. It is a way of straightening or moving teeth to improve the appearance of the teeth. It is done with the help of wires and brackets. It can also help to look after the long term health of your teeth, gums and jaw joints.

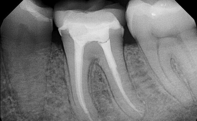
Root-Canal-Treatment

Root Canal Treatment

Also known as endodontic treatment done for the removal of infection from inside a tooth. It is carried out in the nerves present in pulp of the tooth, which is called as root canal. It is thought to be very painful but is a pain relieving treatment.

physiotherapy

Extraction

Also known as Tooth Removal. It is indicated in tooth infection, grossly carious tooth, fractured tooth. It is a simple procedure performed under local, general, intravenous anesthesia, or a combination.

Composite-Restoration

Composite Restoration

Also Known as TOOTH COLORED RESTORATION. It is used to repair a tooth that is affected by decay, cracks, fractures, etc. Composite restoration are most widely now-a-days as it closely matches with the colour of the natural tooth. It is aesthetically suitable to the patient.

Crown-Bridges

Crown and Bridges

Also known as CAPPING. Crown & bridges are indicated in cases of missing teeth, Root canal treated tooth, fractured tooth. They are cemented and fixed on the adjacent tooth. They function like a natural permanent tooth.

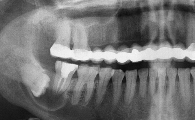
Radiography

Radiography

Also Known as X-RAY. An X-ray is a quick, painless test that produces images of the structures inside your body, particularly your bones. It is used in diagnosis of caries, infection in periapical region, tooth position within the jaw.

Intra-Oral-Camera

Intra Oral Camera

It is designed to allow clinicians to capture and display images from inside a patients mouth. It is a valuable tool for patients education and case representation.

Denture

Denture

It is an artificial set of teeth to replace missing teeth, and support the underlying tissues. Dentures can be removable or fixed or implant supported. The choice of denture depends on patient’s age and oral tissue conditions.

Ultrasonic-Scaling

Ultrasonic Scaling

Also known as CLEANING of teeth. It is a simple procedure of removing the deposits from the surface of teeth such as calculus and stains. It is advisable to the patient to undergo this procedure in every 6 months to maintain the health of gums.

Bleaching

Bleaching

Also Known as TEETH WHITENING. It is a professional method for teeth whitening as they are safe, effective and are done under the supervision of a dental professional. It is a procedure to remove stains of fluorosis, tea , coffee, etc.

Splinting

Splinting

It is a procedure performed on mobile teeth for their stabilization in the jaw. It is used to restore the health of the gums and supporting bone.

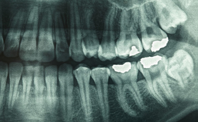
Impaction

Impaction

It Is a surgical removal of the teeth present in the bone. It is mainly done in the cases of wisdom teeth that fail to erupt in its natural position in the mouth.

Tooth-Jewellery

Facility Of Tooth Jewellery

It is a cosmetic procedure in which precious stones are placed on the tooth surface safely and securely. It is unique and fashionable. It is harmless for the teeth as no drilling is done.